How mouth breathing affects your child’s health

The story of an 8-year-old boy, Keyan, who suffered from mouthbreathing and its consequences.

Told by his mother:

Keyan's breathing issues began when he was around 1 year old. It all started with a runny nose that wouldn't get any better in months. Every visit to a pediatrician would end the same way. The doctor would say: your child's immune system is forming, so it is normal. My motherly intuition was telling me a different thing though. Because of a non-stop runny nose, Keyan started breathing with his mouth. When he was 17 months old  he had his first episode of bronchitis. He had to be hospitalized. That winter he had 2 episodes of bronchitis. 

Since then every winter was the same scenario: runny nose, therefore obstructed nasal breathing, bronchitis, nebulizing and steroidal medication. At the age of 3 he has diagnosed with asthma. 

Mouth breathing continued. 

The lack of spaces between baby teeth is a sign for a narrow upper jaw.

From around age of 4 he started snoring pretty bad at night. It was borderline sleep apnea. Again every time we would see pediatricians, they would prescribe steroidal nose sprays and send us home. At first the sprays worked. But then they stopped working, and we had to increase the dose. It was a vicious cycle that I did not see the way out from. 

In 2020 we had a few visits with ENTs where every time I would hear: if you want your child to breathe with his nose, we need to remove his tonsils and adenoids. 

I was not comfortable with the thought of surgery and wanted to find out if there was an alternative. So, I started my own research, which took me almost 2 years.

Unfortunately, the topic of narrow jaws, wrong tongue position, and mouth breathing as a consequence, was not mainstream back in 2020. Even today it is not, though it got much better i must say, and more and more specialists start talking about the connection of narrow palate and mouth breathing. 

Keyan

At this time, Keyan was snoring, and tonsil- and adenoidectomy was recommend.

In 2022 i found a startup company that was making custom-made oral appliances that would guide the jaw and airway during the child's natural growth period. Keyan wore this appliance at night and it helped him a little bit with mouth breathing, because it guided the tongue to the roof of the mouth. But, again, it was only partially effective, because his uppper palate was still too small for his tongue to comfortably fit in there. 

Meanwhile I continued my research.  

Eight months of wearing that appliance didn't change anything in the big picture and we were back to square 1.

In 2023 i found an orthodontist in Milan who agreed to put a Schwartz appliance in Keyan's mouth. At first they refused, because they said it was way too early, and they do not use these appliances on 8year olds, and we need to wait till keyan is 12-13 years old. I had to basically beg them to do it, because at that time we only had two choices: to do nothing or to do something. 

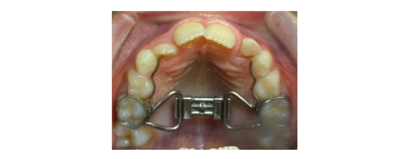
Rapid Palatal Expansion Appliance

Rapid Palatal Expansion Appliance from an orthodontist alio loco

So,  we did 9 months of Schwartz appliance.  My biggest concern though, from the beginning of this story was that this appliance ONLY addresses the upper jaw. After 9 months we reached the maximum expansion, which was  4 or 5 mm before Keyan would develop a scissor bite. 

I continued doing research and looking for other specialists. 

In 2024  I found Renata, Keyan's myofunctional therapist. She was amazing! A real professional in her sphere! She was the one who recommended Dr. Caludia to us. I decided to give it a try. And it was the best decision in our lives! 

It has been an amazing transformation for Keyan!

Keyan at age 8

With the help of myofunctional therapy, we retrained his tongue to stay where it is supposed to be- the roof of the mouth. With the help of Dr. Claudia we continued working on the expansion of the upper jaw and aligning the lower jaw to match the upper one with the help of aligners. 

And I think we reached absolutely amazing results. 

Usually, at Keyan’s age, a tooth-borne expander is enough to expand the upper jaw. The downside however, is, that 50% of the effects will be dental (teeth moving sideways) and only 50% will be the desired skeletal effects. For that reason, a bone-anchored expander was chosen to get 100% skeletal effects and maximize the improvement in the nasal cavity.

Keyan sleeping and nasally breathing

Keyan sleeping: a mirror shows fog from both nostrils, proving he is breathing properly through his nose.

Keyan's facial features changed so much! He used to have this tired look; now he looks refreshed. He stopped snoring at night COMPLETELY! He breathes with his nose all night long and most of the time during the day. He sleeps well at night. Bedwetting stopped, he started gaining some weight as well, which was a big struggle before.

I know we are still not at the end of this journey, but I can't thank enough Dr. Claudia for her work and dedication! She is a wonderful specialst and we will be forever grateful for all her help and efforts to make my son a healthier, happier human being!❤️

Before and after palatal expansion: nasal breathing improved, appetite improved, enough space for teeth.

Keyan at 9 years old

Keyan at 9 years old: sleeping well and thriving in every aspect of life.

Zurück
Zurück

Was ist das Richtige für mich: MARPE, MSE, DOME, MASPE, RPE, SARPE, … ?

Weiter
Weiter

Alternative zum Kieferbrechen: Moderne Wege zu einem breiten Lächeln